心臓電気デバイス
心臓電気デバイスとは?
徐脈や致死的不整脈、心不全への心臓電気デバイスの治療にも積極的に取り組んでいます
日本メドトロニック提供ペースメーカー(PM)や植込み型除細動機(ICD)、また心臓再同期療法などをまとめて心臓電気デバイス(CEID)と私たちは読んでいます。徐脈よるふらつき(前駆失神)や失神などの症状のある方は、恒久的ペースメーカーが必要となります。また致死的不整脈を起こされる方、リスクの高い方も植込み型除細動機の適応となることがあります。当院では年間でPM約60例,ICD/CRTはそれぞれ10件の新規植え込みがあり、治療に当たらせていただいております。
5-10年で電池交換が必要です。
手術の入院は新規、電池交換ともに1週間程度です
通常利き手と反対側に植込みますリードの植込みは当院では現在、腋窩静脈穿刺法による手術を第一に選択しています。そのために血管の造影を予め行っております。なお、腎機能の問題で造影できない方などは経大腿静脈的にワイヤーを留置し、メルクマール法で穿刺をいたしております。電池ポケットの作成は通常は鎖骨下1-2横指下に作成しています。デバイス術後は創部感染の予防が重要です。そのために入院中も感染兆候の有無は確認いたしますが、退院後も傷の治り具合によってはテープ保護の継続や翌週の再診の方針で退院させて頂く場合がございます。 多くの方は約1週間の入院期間で退院されております。
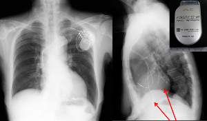
重症心不全にもデバイス治療を行います
心不全は心臓のポンプ機能が失調している状態を示します。
一部の人に左脚ブロックなどの心臓伝導障害が心機能を著しく低下させる場合があります。
その場合には心臓再同期療法が適応となる事があります。
具体的には左心室の前後にペースメーカーのリード(→)を留置し、左心室を挟み込むような形で心臓を動かす治療です。
当院では2004年から150例以上の経験があり、またエコーグループとも協力して外来でも機械を適切に保つための設定変更を積極的に行っています。
完全皮下植込み型除細動器
従来、心室細動・心室頻拍の患者さんには植え込み型除細動器(ICD)を植え込み治療を行ってまいりましたが、ICDは経静脈リードを必要としそのリードにともなく感染症、心タンポナーデなどの合併症に悩まされてきました。このたび心臓内にリードを留置する必要がないという「完全皮下植込み型除細動器」が使用可能となりました。
- メリット
- 1.手術時に心タンポナーデ、心穿孔、気胸がない
- 2.静脈アクセスが不要
- 3.心内膜炎のリスクがない
- 4.感染した際にも抜去が容易 (血管損傷、心損傷はない)
- デメリット
-
- 1.ジェネレータが大きくなる
- 2. 徐脈ペーシングができない

手術 静脈麻酔・全身麻酔で行います。
リードは前胸部皮下と本体は左側胸部皮下に植込み、本体と接続します。除細動ショックはリードと本体の間で行われます。手術時間は90-120分程度(麻酔導入などの時間を含む)です。術後は麻酔の影響がなくなれば歩行も可能で、創部が安定するまで入院で経過を見ますが、問題なければ退院となります(1週間程度)。
創部もあまり目立たず、退院後はほぼ普通の生活ができます。
ペーシングが必要ない植え込み型除細動器適応の患者さん、例えばブルガダ症候群が良い適応です。
リードレスペースメーカー
日本Medtronic社提供2017年9月1日よりMedtronic社®️ MICRA™️によるリードレスペースメーカを導入予定です。この技術革新により皮下ポケットや電極リードが不要になります。ペースメーカのトラブルの8割はポケット感染やリード断線に起因するものですので、それを克服できると考えております。

まだ心室ペーシング単独の方が対象となりますが、デバイス革新の大きな分岐点と考えております。
100円玉との比較ではいかに小さいデバイスかがお判りいただけるかと思います。
植込み型心電計(ICM)
原因不明の失神、原因不明の脳梗塞に対して Insertable Cardiac Monitoring (Reveal Linq )を積極的に導入しています。
日本Medtronic社提供原因の特定されない失神は日常臨床では比較的よく遭遇します。多くは神経調節性失神という自律神経によるものと考えられますが、各種検査を行っても再発をされる方はいらっしゃいます。当院ではチルト試験など自律神経に負荷を与える検査を行ってもよくわからない場合、また繰り返し突然の意識消失発作を繰り返される場合に植え込み型心電計を導入しています。2016年からは従来型のものより70%小型化されたMedtronic社のReveal Linqを使用しています。
また原因不明の脳梗塞でも心房細動が比較的よく見られることもあり、個々の患者さんに応じて適応を推奨してます。

