経胸壁心エコー図検査は年間10000件以上を行なっております
心エコー図検査は、心電図・レントゲン検査と並んで、循環器診療に欠かせない検査の一つです。循環器領域のいかなる疾患であっても、診断・病態把握・合併症の検索などに心エコー図検査は欠かせません。また、被爆がなく非侵襲的であり繰り返し行うことが可能で、患者さんの負担が少ない検査の一つです。
たとえば、循環器疾患の中でもっとも多いと考えられる高血圧症では、左室肥大や左室流出路障害の有無、心機能の評価が治療薬の選択においても重要です。また弁膜症においても、診断や治療方針決定において、必要不可欠な検査です。このように日常臨床において心エコー図検査は極めて有用であるがために、現在「より詳細かつ正確に心機能を評価しよう」という方向へ向かっており、我々のグループでは以下のような研究を行っております。

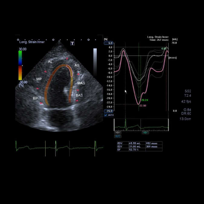
スペックルトラッキング法
心機能をより正確に評価する手段の一つとして、スペックルトラッキング法という手法があります。肉眼ではとらえることが難しい微細な壁運動の変化をとらえることで、診断や治療に生かす試みがなされています。たとえば、狭心症で左心室心筋の虚血障害は軽度の場合には肉眼ではとらえられません。そういう時にこの手法を使い、診断に重要な意味を持たせることができます(図1)。

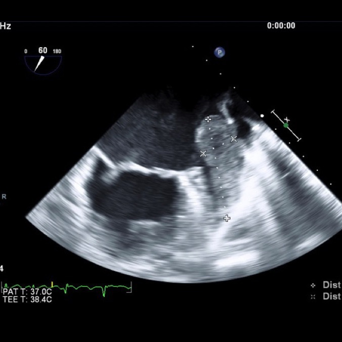
経食道心エコー図検査
我々は経胸壁心エコー図検査のほかに経食道心エコー図検査も多くの件数を行っております。心腔内血栓や弁膜症、先天性心疾患、感染性心内膜炎などの疾患を詳細に評価するには胸壁からの観察では不十分なことが多くあります。より正確に評価するための手段の一つとして心臓の奥にある食道から心臓を観察する経食道エコー検査が用いられています(図2)。この検査により、治療方針、手術適応の有無などをしっかり評価することができ、心臓血管外科とスムーズに連携して治療をおこなっています。

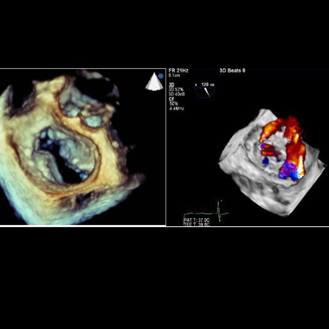
リアルタイム3Dエコー
人間の体はもとより3次元的なものですから、2次元の情報のみで評価することには限界があります。それを克服するする手段としてリアルタイム3次元心エコー図法が開発され臨床的にも用いられています(図3)。

運動負荷心エコー図検査
安静時に心不全症状がでなくても、労作時に出現することは多々あります。安静時には問題にならなかった血行動態が労作時に異常を示すようになるからです。そのため心疾患の重症度や病態を評価するにあたって運動負荷試験は必須の検査です。当科では臥位エルゴメータ試験やハンドグリップ負荷試験などにより、心血行動態の評価をしています。
カテーテル治療を全面的にサポートしています
また近年、心房細動カテーテルアブレーションやTAVIをはじめとした経カテーテル治療は著しい発展をとげています。その発展の背景には、診断や治療のガイドとなるエコー検査の進歩も一助となっています。診断のみならず、ハートチームでは治療にも参加し、重要な役割をはたしています。


