TOP page
Publications
Photos
Research
Members
Access
学内(講義用)
Reasearch Topics

C. Development of new Hydrophilic and chemical-stabel solid materials
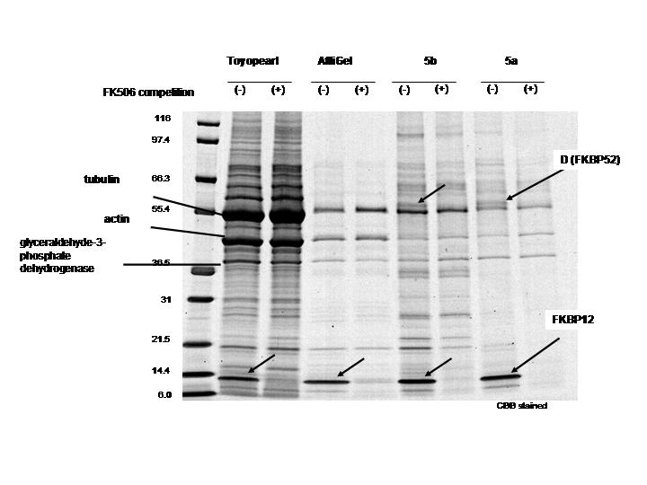
A~Bの項で述べてきたように、我々は非特異的なタンパク質吸着の抑制に親水性向上が有効であることを見出してきた。
従来、アフィニティ樹脂用の固相担体は大きく分類して、1)AffiGelに代表される糖類ポリマータイプ、2)Toyopearlに代表される合成樹脂が利用されてきた。海外での利用を見ればほとんどがAffiGelを中心とした活用であったが、これらの樹脂は水系を前提とした物性を持ち、有機溶媒中では容易に非可逆的な変性(縮こまって、再生しない)が避けられず、一般医薬品のような低溶解度(水中)の応用は困難を極めてきた。一方、Toyopearlに代表される従来の合成樹脂は安定した重合反応コントロールが容易なglycidyl methacrylateやstyreneを疎水性核として得た後、親水性スペーサーを付加する2段階の合成法によって得られてきたが、2段階目の付加反応が複雑な表面構造を持つ表面上の立体障害によって、一般的に最大30-40%程度しか導入できず、多くの疎水的表面が残存し、結果として疎水性生理活性物質を固定化した際、多量の非特異的タンパク質吸着に苦しむこととなってきた。そこで我々は先に開拓した親水性スペーサーを持つmethacrylate1誘導体を開発し、1段階による固相担体合成を行った。
T.Takahashi, T. Shiyama, K. Hosoya, A.Tanaka. Development of chemically stable solid phases for the target isolation with reduced nonspecific binding proteins. Bioorg. Med. Chem Lett.., 16, 447-450 (2006).
reference
その結果、上図のように化学的に安定で、AffiGel並に非特異的タンパク質吸着が少ない樹脂の合成に始めて成功した。
しかし、本樹脂は不定形であるため、汎用的な利用のため、さらに重合か反応の検討を行った。